院内新闻
建瓯市立医院与福建省肿瘤医院开展线上线下联合查房
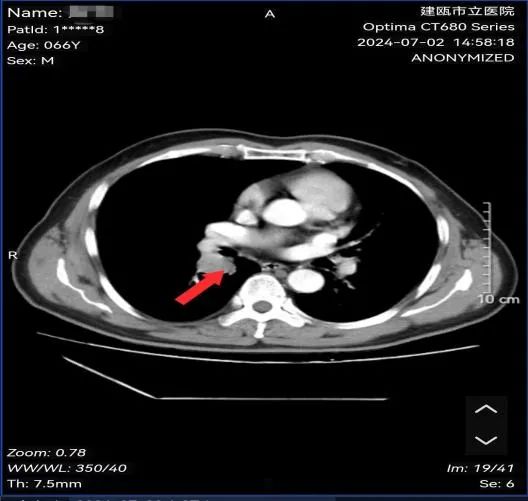
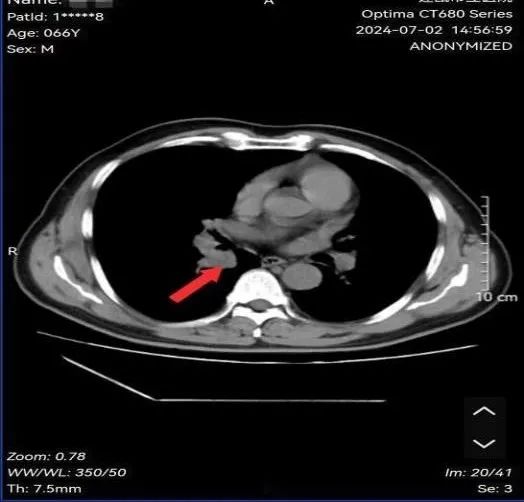
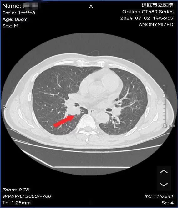
魏先生,男性,66岁,有长期吸烟史20余年,因反复咳嗽数月求诊我院,经肺部CT、支气管镜等检查确诊小细胞肺癌。经肺癌多学科诊疗小组专家会诊:建议完善骨ECT、脑部MRI检查后明确分期为:局限期小细胞肺癌,建议行同步放化疗治疗。




图为:治疗前病灶影像及病理结果

图为:我院与福建省肿瘤医院专家线上线下开展肺癌MDT现场
面对高度侵袭性的小细胞肺癌,我院肺癌MDT小组第一时间组织专家与省肿瘤医院专家对患者病情开展MDT讨论、联合查房,制定了详细的诊疗计划,先期在我院行2周期静脉化疗,此后转至福建省肿瘤医院行同步放化疗治疗,经过3个月治疗后,近期患者在我院复查疗效达到完全缓解(cCR),针对是否进行后续全脑预防性放疗及免疫维持在本次线上线下联合查房中进行了探讨。目前局限期小细胞肺癌同步放疗后进行免疫维持治疗取得重大进展,多学科探讨个性化治疗对于延长生存至关重要。


图为:治疗后病灶影像结果(原右肺下叶病灶消失)

图为:苗茜副院长、吴均主任与福建省肿瘤医院徐海鹏医务科科长(线上)、姚奇伟放疗科主任(线上)、右1庄武胸部肿瘤内科主任(线下)使用移动查房车开展联合查房现场
肺癌是男性和女性癌症死亡的主要原因,约占所有癌症死亡人数的五分之一。肺癌大致分为非小细胞肺癌和小细胞肺癌,小细胞肺癌的比例占15%,与重度吸烟有关,是一种高侵袭性的疾病。I-III期的局限期小细胞肺癌约占小细胞肺癌的30%,肿瘤通常位于一侧肺部或一个放疗野内。局限期小细胞肺癌对化疗和放疗敏感,同步的化放疗非常重要。
医用移动查房车优势和特点



