新闻中心
【医联体建设】突破“生命禁区”!建瓯市总医院成功实施高难度腹腔镜腹膜后肿瘤切除术
腹膜后肿瘤,因其位置深、解剖关系复杂,常被称为“生命的禁区”。近日,建瓯市总医院充分发挥医联体资源共享、技术联动优势,成功为一名患者实施高难度腹腔镜下腹膜后肿瘤切除术,在精准清除病灶的同时,完好保护了周围重要组织器官,让患者在家门口就享受到了高水平医疗服务,标志着建瓯市总医院在复杂肿瘤微创治疗领域取得新突破。
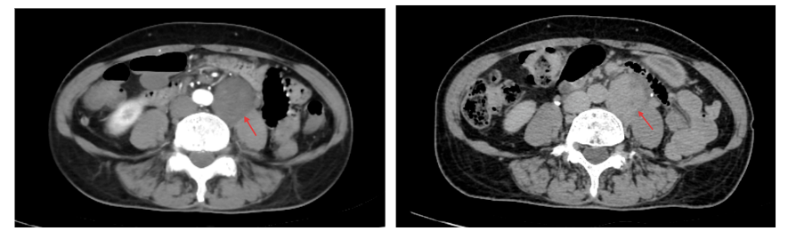
此次接受手术的患者,肿瘤不仅深居腹膜后,更紧贴脊柱腰大肌、输尿管及结肠血管,周围组织毗邻关系错综复杂,手术中稍有不慎便可能损伤重要脏器,采用常规手术方案甚至需面临器官切除的风险,这对手术团队的技术水平和协作能力提出了极高要求。
为确保手术安全顺利开展,建瓯市总医院胃肠外科高度重视,官申副院长与福建省肿瘤医院大肠癌诊治中心杨春康教授线上展开充分的研讨。双方结合患者详细的影像学检查结果,全面梳理病情,反复研判肿瘤浸润范围及与周围组织的解剖关系,精准规划手术路径,最终共同制定了个性化的腹腔镜微创切除方案,明确“精准剥离、完整切除、功能保护”的核心目标,为手术成功奠定了坚实基础。
手术当天,杨春康教授与我院胃肠外科团队默契配合、精准操作。借助腹腔镜高清放大视野,手术团队清晰呈现肿瘤与周围重要组织的毗邻关系,熟练运用腹腔镜微创技术进行精细解剖,在复杂的组织间隙中小心分离、精准剥离,全程规避重要血管与神经,最大限度保护周围正常组织。整个手术过程流畅高效,仅用不到一小时便成功将腹膜后肿瘤完整切除,术中出血少,脊柱腰大肌、输尿管、结肠血管及周围神经肌肉均得到完好保护,圆满达成术前既定目标,成功避免了器官切除对患者生活质量的影响。
本次高难度腹腔镜下腹膜后肿瘤切除术的成功实施,既彰显了我院胃肠外科团队的专业素养与精湛技术实力,也是我院深化医联体建设、推动优质医疗资源下沉的生动实践。近年来,建瓯市总医院以医联体建设为抓手,通过技术交流、病例研讨、技能提升等举措,持续夯实肿瘤诊治、微创外科等重点学科建设,稳步提升诊疗水平,切实破解基层群众 “看大病难、寻专家难” 的就医痛点,以实际行动践行守护百姓健康的初心使命。


